Full Mouth Rehab
Procedures
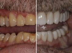
Ready for a Change
This patient had had a long history of issues with his teeth. But he was ready for a change. He opted to go with Dr. Desai’s recommendation for a full smile makeover with ceramic crowns and veneers to restore his beautiful smile.
view Procedure Details
